![[OSEN=이대선 기자] 5일 오후 서울 성동구 팝업스튜오에서 뷰티 브랜드의 포토콜 행사가 열렸다.이날 송지효, 크래비티 형준&태영, 영파씨 등이 참석해 자리를 빛냈다.배우 고우리가 포토타임을 가지고 있다. 2024.12.05/sunday@osen.co.kr](https://file.osen.co.kr/article/2026/04/01/202604012343777544_69cd2fec8aded.jpg)
[OSEN=장우영 기자] 그룹 레인보우 멤버 겸 배우 고우리가 임신을 발표했다.
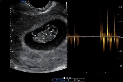
1일 고우리는 자신의 소셜 계정에 “네 저 임신했어요. 안정기가 될 때까지 조심 또 조심하느라 조용히 시간을 보내고 있었답니다”라는 글과 태아 사진을 공개했다.
사진에서 고우리는 태야 사진과 함께 심장 박동 소리도 공개했다. 고우리는 태명이 ‘복덩이’라고 밝히며 “앞으로 별탈없이 건강하게 태어나도록 많은 응원과 사랑 부탁드려요. 그럼 여러분들도 복 많이 받으실 거예요”라고 말했다.

이와 함께 고우리는 “전 아들맘이 어울리나요 딸맘이 어울리나요? 궁금!!”이라고 덧붙였다. 고우리는 ‘말띠맘’이 된다면서 임밍아웃으로 많은 응원을 받았다.
한편, 고우리는 지난 2022년 10월 5살 연상의 사업가와 결혼했다. /elnino8919@osen.co.kr








