많은 보호자들이 반려견의 나이를 이유로 수술을 미루거나 포기하기도 한다(클립아트코리아, 사진은 기사 내용과 무관함).© 뉴스1
"14살이라 수술이 걱정되는데… 꼭 해야 할까요?"
노령 반려견을 키우는 보호자라면 한 번쯤 고민하게 되는 질문이다. 실제로 많은 보호자들이 나이를 이유로 수술을 미루거나 포기하기도 한다. 그러나 질환에 따라서는시간이 지날수록 위험성이 커질 수 있어 정확한 검사와 상태 평가를 통해 치료 여부를 판단하는 과정이 중요하다는 지적이 나온다.
10일 서울 목동 24시 월드펫동물메디컬센터에 따르면 최근 14살 푸들 '코코(가명)'가 보호자와 함께 내원했다. 타 병원에서 담낭과 비장에 이상 소견을 듣고 수술 권유까지 받은 상황이었다. 보호자는 "노령이라 마취가 더 걱정된다"며 수술 여부를 쉽게 결정하지 못하고 있었다.
첫 내원 당시 모카는 전반적인 컨디션은 비교적 안정적인 상태였다. 하지만 혈액검사에서는 간 수치와 신장 수치, 염증 수치 상승이 확인됐다. 특히 만성 신장질환(CKD)이 의심되는 상황이어서 바로 수술을 진행하기보다 신장 보조제를 처방하고 약 10일간 컨디션을 안정화하는 과정을 거쳤다.
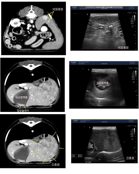
추가 정밀검사도 진행됐다. CT(컴퓨터 단층촬영)와 초음파, 방사선 검사 결과 담낭과 비장 이상 외에도 간에 종양성 병변이 의심되는 소견이 확인됐다. 단일 장기 질환이 아니라 복강 내 여러 장기를 함께 평가해야 하는 상황이었다.
14세 고령견에서 발견된 다발성 복강 내 장기 이상(월드펫동물메디컬센터 제공) © 뉴스1
의료진은 보호자와 충분한 상담 끝에 담낭 절제술과 비장 절제술, 그리고 간 조직 생검을 동시에 진행하기로 결정했다. 비장 종양의 경우 파열되면 급성 출혈로 이어질 수 있고 담낭 점액종 역시 파열 시 복막염으로 진행될 수 있기 때문이다.
보호자가 가장 우려했던 부분은 역시 마취였다. 고령견 수술에서는 마취 시간과 출혈 관리가 중요한 변수로 꼽힌다. 의료진은 출혈을 최소화하기 위해 혈관을 동시에 절개하고 지혈할 수 있는 장비를 활용해 수술 시간을 줄이는 데 집중했다.
수술은 큰 출혈 없이 안정적으로 마무리됐다. 모카는 수술 후 3일간 집중 입원 치료를 받았으며 4일 만에 퇴원했다. 입원 기간 염증 수치는 점차 감소하는 경향을 보였고 식욕과 활력도 빠르게 회복됐다.
이후 조직검사 결과도 보호자에게는 다행스러운 소식이었다. 간은 퇴행성 간 질환(Degenerative hepatopathy), 비장은 충혈 및 혈종(Congestion/Possible hematoma)으로 확인돼 악성 종양은 아닌 것으로 나타났다.
수술 후에도 관리가 중요하다. 의료진은 CKD 의심 소견이 있는 만큼 정기적인 혈액검사를 통한 신장·간 기능 모니터링과 식이 관리가 필요하다고 설명했다.
현재 모카는 퇴원 후 안정적으로 경과 관찰을 이어가고 있다. 보호자가 가장 걱정했던 수술 이후의 일상도 큰 문제 없이 회복된 상태다.
차진원 월드펫동물메디컬센터 원장은 "노령견이라는 이유만으로 치료를 미루기보다 환자의 현재 상태를 정확히 평가해 치료 여부를 결정하는 과정이 필요하다"며 "특히 비장이나 담낭 질환은 갑작스러운 응급 상황으로 이어질 수 있어 조기 진단과 적절한 치료가 반려동물의 삶의 질을 지키는 데 도움이 될 수 있다"고 말했다.
이어 "14세와 같은 고령견에서는 코코처럼 복강 내 여러 장기에 이상이 동시에 나타나는 경우도 드물지 않다"며 "CT나 초음파 같은 영상검사를 통해 장기 상태를 정밀하게 확인하는 것이 치료 방향을 설정하는 데 중요한 역할을 한다"고 설명했다.
또 "노령 환자일수록 나이 자체보다 전신 상태와 질환의 진행 정도를 종합적으로 판단하는 것이 중요하다"며 "정확한 진단과 충분한 준비가 이뤄진다면 고령견에서도 치료를 통해 안정적인 일상을 유지할 수 있다"고 덧붙였다.[해피펫]
차진원 24시 월드펫동물메디컬센터 원장 © 뉴스1
badook2@news1.kr









