봄철 반려견과 야외 활동이 늘면서 진드기 매개 질환에 대한 주의가 요구되고 있다(사진은 기사 내용과 무관함, 클립아트코리아). © 뉴스1
봄철 반려견과의 야외 활동이 늘면서 진드기 매개 질환에 대한 주의가 요구되고 있다. 보호자들이 단순 피로로 오해하기 쉬운 증상 뒤에 생명을 위협하는 감염이 숨어 있을 수 있기 때문이다.
실제로 SD동물의료센터에는 최근 "벚꽃놀이를 다녀온 뒤 강아지가 기운이 없다"는 이유로 반려견이 내원했다. 구토나 설사 등 뚜렷한 증상은 없었지만 평소보다 침울하고 식욕이 떨어진 상태였다.
7일 SD동물의료센터에 따르면 봄철 진드기는 산이나 숲뿐 아니라 공원 잔디, 하천 산책로, 아파트 화단 등 도심 곳곳에서도 활발히 활동한다. 풀잎에 붙어 있다가 지나가는 동물의 털에 옮겨붙는 방식으로 숙주를 찾는다. 산책 중 풀 냄새를 맡거나 잔디에 몸을 비비는 과정에서 자연스럽게 접촉이 이뤄진다.
반려견 다리에 붙어있는 진드기(SD동물의료센터 제공) © 뉴스1
특히 귀 주변, 겨드랑이, 발가락 사이처럼 털이 얇고 피부가 부드러운 부위는 진드기가 붙기 쉽다. 그러나 보호자가 즉시 알아채기 어려운 경우가 많다. "딱지가 생긴 것 같다", "오돌토돌한 게 만져진다"는 이유로 뒤늦게 병원을 찾는 사례도 적지 않다.
문제는 감염 증상이 즉시 나타나지 않는다는 점이다. 진드기에게 물린 뒤 며칠이 지나서야 이상이 드러나는 경우가 많다. 초기에는 단순 피로처럼 보이기 쉽다. 그러나 이 시기에 적절한 대응이 이뤄지지 않으면 상태는 급격히 악화할 수 있다.
해당 반려견의 경우 신체검사에서 황달이 확인됐다. 혈액검사 결과 적혈구 용적률(HCT)이 11.9%로 측정됐다. 정상 범위인 37~55%의 절반에도 못 미치는 수치로 중증 빈혈 상태였다. 적혈구는 체내 산소를 운반하는 역할을 하기 때문에 급격히 감소하면 무기력, 식욕 저하, 호흡 곤란, 심박수 증가 등 전신 증상이 나타나며 응급 상황으로 이어질 수 있다.
또한 적혈구 파괴 시 생성되는 빌리루빈 수치가 상승하며 황달이 나타났고, 염증 수치 역시 높게 확인됐다. 혈액 도말 검사에서는 자가 응집 반응이 관찰돼 면역 체계가 적혈구를 공격하는 용혈 빈혈(용혈성 빈혈) 양상이 의심됐다.
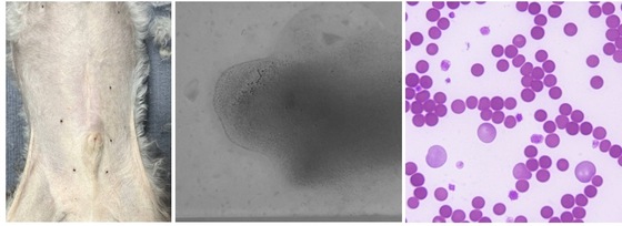
황달이 확인된 반려견의 배(맨 왼쪽), 자가 응집 반응이 확인된 혈액, 현미경으로 확인했을 때 뭉치고 있는 적혈구(SD동물의료센터 제공) © 뉴스1
의료진은 즉시 수혈을 진행했다. 입원 2일 차, 환자의 HCT는 29.2%까지 회복되며 안정적인 경과를 보였다. 하지만 빈혈의 원인을 확인하는 것이 중요했다.
추가 검사 결과, 해당 환자는 진드기 매개 질환인 바베시아증 감염으로 진단됐다. 바베시아증은 적혈구를 파괴하는 원충 감염으로 이차성 면역 매개성 용혈 빈혈을 유발할 수 있다.
이에 따라 과도한 면역억제 치료보다는 감염 자체를 억제하는 치료에 집중했다. 입원 4일 차에는 빈혈과 혈소판 수치가 안정화됐고 식욕도 회복됐다. 입원 6일 차에는 염증 수치와 황달 수치가 정상 범위로 돌아오며 퇴원했다. 이후 1주일 뒤 진행한 추적 검사에서도 특이 소견은 확인되지 않았다.
유지수 SD동물의료센터 내과 과장은 "바베시아증 감염은 초기에 단순한 피로처럼 보여 보호자가 지나치기 쉽다"며 "평소보다 기운이 없고 식욕이 떨어지거나 잇몸이 창백해 보이고 소변 색이 짙어지는 변화가 있다면 즉시 검사를 받아야 한다"고 설명했다.
이어 "봄철 산책 이후에는 반드시 몸을 꼼꼼히 확인하고, 예방약을 사용하는 것이 중요하다"며 "진드기 노출 가능성이 높은 환경에서는 사전 예방이 가장 효과적인 대응"이라고 강조했다. [해피펫]
유지수 SD동물의료센터 내과 과장 © 뉴스1
badook2@news1.kr









